Κάταγμα Ισχίου
Τι είναι το κάταγμα ισχίου;
Το κάταγμα ισχίου αποτελεί έναν από τους πιο σοβαρούς τραυματισμούς της τρίτης ηλικίας. Συνήθως είναι αποτέλεσμα τραυματισμού χαμηλής ενέργειας, κυρίως από πτώση στο ίδιο επίπεδο.
Η βλάβη μπορεί να εντοπίζεται στην κεφαλή του μηριαίου, στο υποκεφαλικό τμήμα ή χαμηλότερα, επηρεάζοντας την επιφάνεια του ισχίου και τη σταθερότητα της άρθρωσης. Το κάταγμα ισχίου αφορά κυρίως ηλικιωμένους ασθενείς με συνυπάρχουσες παθήσεις και βεβαρημένο ιατρικό ιστορικό, γεγονός που αυξάνει τη νοσηρότητα και τη θνητότητα.
Υπολογίζεται ότι το 2010 στις Η.Π.Α αντιμετωπίστηκαν 258.000 κατάγματα ισχίου ηλικιωμένων, με επακόλουθο κόστος 17 με 20 δις δολλάρια για το φορέα ασφάλισης.
Αίτια και παράγοντες κινδύνου
Το κάταγμα ισχίου προκαλείται συχνότερα από πτώση στο σπίτι ή σε εξωτερικό χώρο. Στους νεότερους ασθενείς μπορεί να προκληθεί από σοβαρότερο τραυματισμό, όμως στους ηλικιωμένους εξαρτάται από την οστική πυκνότητα και τη γενικότερη φυσική κατάσταση.
Ακόμα κάποιοι παράγοντες κινδύνου είναι:
- η οστεοπόρωση ( καθώς αποδυναμώνει το μηριαίο οστό)
- η προχωρημένη ηλικία
- το γυναικείο φύλo
- η έλλειψη βιταμίνης D
- η μειωμένη μυϊκή ισχύς
- τα προβλήματα ισορροπίας (αυξάνουν σημαντικά την πιθανότητα κατάγματος)
Οι πτώσεις αποδίδονται συχνά σε μειωμένο συντονισμό, νευρολογικά ή καρδιολογικά προβλήματα, καθώς και σε περιβαλλοντικούς κινδύνους μέσα στο σπίτι.
Ταξινόμηση καταγμάτων ισχίου
Στην ορθοπαιδική, τα κατάγματα του ισχίου κατηγοριοποιούνται με διάφορα συστήματα. Για την καλύτερη κατανόηση από τον ασθενή ο πιο πρακτικός διαχωρισμός είναι σε δύο βασικές κατηγορίες:
- Ενδοαρθρικά
- Εξωαρθρικά
ή αλλιώς
- Υποκεφαλικά
- Διατροχαντήρια
Η επιλογή της αντιμετώπισης τους στηρίζεται στον παραπάνω διαχωρισμό, στον τύπο του κατάγματος αλλά και στην κατάσταση της υγείας και της κινητικότητας του πάσχοντος.
Συμπτώματα και κλινική εικόνα
Τα συμπτώματα ενός κατάγματος ισχίου εμφανίζονται άμεσα μετά τον τραυματισμό και είναι συνήθως έντονα και χαρακτηριστικά.
Ο ασθενής αναφέρει:
- αιφνίδιο, ισχυρό πόνο στην περιοχή του ισχίου ή στη βουβωνική περιοχή
- δεν μπορεί να σταθεί όρθιος ή να βαδίσει
- το κάτω άκρο φαίνεται πιο κοντό και στραμμένο προς τα έξω, εύρημα που παρατηρείται ιδιαίτερα σε υποκεφαλικό κάταγμα ισχίου ή σε διατροχαντήριο κάταγμα ισχίου
- οίδημα ή ευαισθησία στην περιοχή του ισχίου
Σε ορισμένες περιπτώσεις, ο πόνος μπορεί να είναι ηπιότερος αλλά παραμένει βαθύς, εντοπισμένος στην άρθρωση, στην κεφαλή του μηριαίου ή κατά μήκος του μηριαίου οστού. Ο ασθενής μπορεί να προσπαθήσει να κινηθεί, όμως η βάδιση είναι εξαιρετικά επώδυνη και ασταθής. Επίσης, η αδυναμία έγερσης από το έδαφος μετά από πτώση αποτελεί κλασικό σύμπτωμα και πρέπει να οδηγηθεί άμεσα για ιατρική αξιολόγηση.
Σε ηλικιωμένους ασθενείς με βεβαρημένο ιατρικό ιστορικό, η κλινική εικόνα μπορεί να συνοδεύεται από σύγχυση ή επιδείνωση της γενικής κατάστασης, ιδιαίτερα όταν ο τραυματισμός προκλήθηκε από πτώση στο σπίτι. Η έγκαιρη αναγνώριση των συμπτωμάτων οδηγούν στη σωστή διάγνωση και την ταχεία αντιμετώπιση.
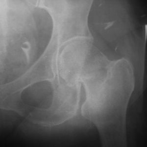
Κάταγμα Ισχίου: Διάγνωση
Η διάγνωση του κατάγματος ισχίου ξεκινά με λεπτομερή κλινική εξέταση και επιβεβαιώνεται με ακτινογραφία της περιοχής του ισχίου σε δύο προβολές.
Ο έντονος πόνος στη βουβωνική περιοχή και η αδυναμία φόρτισης του σκέλους θέτουν άμεσα την υποψία κατάγματος ισχίου. Αν η αρχική ακτινογραφία δεν δείξει καθαρά το κάταγμα, αλλά η υποψία παραμένει ιδιαίτερα σε ηλικιωμένο άτομο απαιτείται περαιτέρω έλεγχος.
Επίσης, η μαγνητική τομογραφία διαθέτει υψηλή διαγνωστική ακρίβεια και μπορεί να αναδείξει κατάγματα που δεν είναι εμφανή στην απλή ακτινογραφία.
Παράλληλα με τον απεικονιστικό έλεγχο, πραγματοποιείται πλήρης αξιολόγηση του ιατρικού ιστορικού, με έμφαση σε καρδιολογικά, αναπνευστικά, καθώς και σε τυχόν προηγούμενη διάγνωση οστεοπόρωσης.
Η καταγραφή της λειτουργικής κατάστασης του ασθενή πριν από την πτώση είναι καθοριστική για τον σχεδιασμό της θεραπείας. Για παράδειγμα, αν ο ασθενής ήταν αυτόνομος στη βάδιση ή χρειαζόταν υποστήριξη.
Επιπλέον, οι εργαστηριακές εξετάσεις αίματος, το ηλεκτροκαρδιογράφημα και ο προεγχειρητικός έλεγχος συμπληρώνουν τη διαδικασία, ιδιαίτερα όταν προγραμματίζεται χειρουργική αντιμετώπιση.
Τέλος, η συνολική εκτίμηση εξαρτάται από τη γενική υγεία και την κινητικότητα του ασθενούς, ώστε να διαμορφωθεί ένα ασφαλές και εξατομικευμένο θεραπευτικό πλάνο.




Κάταγμα Ισχίου: Χειρουργική αντιμετώπιση
Η έγκαιρη χειρουργική αποκατάσταση του κατάγματος ισχίου στους ηλικιωμένους αποτελεί βασικό παράγοντα για τη βελτίωση της πρόγνωσης και τη μείωση των επιπλοκών.
Έχει αποδειχθεί ότι ο ασθενής βρίσκεται σε καλύτερη γενική κατάσταση άμεσα πριν από την πτώση, ενώ η καθυστέρηση της θεραπείας επιβαρύνουν έναν ήδη ευάλωτο οργανισμό, αυξάνοντας τον κίνδυνο επιπλοκών. Για τον λόγο αυτό, η επέμβαση συνιστάται ιδανικά μέσα στα πρώτα δύο 24ωρα. Επίσης ακολουθεί άμεση κινητοποίηση και βάδιση εφόσον είναι δυνατόν καθώς και ταχεία επαναφορά στο οικείο περιβάλλον.
Σχετικά με τα απαρεκτόπιστα κατάγματα του αυχένα του μηριαίου οστού αντιμετωπίζονται κατά κανόνα με κοχλίωση, ενώ τα παρεκτοπισμένα με αρθροπλαστική συνήθως ημιαρθροπλαστική ή ολική αρθροπλαστική ισχίου σε νεότερους και δραστήριους ασθενείς. Τα διατροχαντήρια και υποτροχαντήρια κατάγματα αντιμετωπίζονται με ανοικτή ανάταξη και εσωτερική οστεοσύνθεση, κυρίως με ενδομυελικό ήλο ισχίου ή, σε σταθερές περιπτώσεις, με ολισθαίνοντα κοχλία. Η μη χειρουργική αντιμετώπιση είναι εξαιρετικά περιορισμένη και αφορά μόνο πολύ σταθερά κατάγματα ή ασθενείς με ιδιαίτερα επιβαρυμένο ιατρικό ιστορικό και ελάχιστη προϋπάρχουσα κινητικότητα.
Παράλληλα, τα συνυπάρχοντα προβλήματα υγείας των ηλικιωμένων συχνά απαιτούν τη συνεργασία του ορθοπαιδικού χειρουργού με παθολόγο, καρδιολόγο, ώστε η φροντίδα να είναι ολοκληρωμένη και ασφαλής.


Κάταγμα Ισχίου: Μετεγχειρητική πορεία και αποκατάσταση
Η έγκαιρη χειρουργική αντιμετώπιση, συμβάλλει σημαντικά στη μείωση των μετεγχειρητικών επιπλοκών και στη βελτίωση της συνολικής πρόγνωσης. Η παρατεταμένη κατάκλιση αυξάνει τον κίνδυνο θρομβώσεων, πνευμονίας, ουρολοιμώξεων και κατακλίσεων, ιδιαίτερα σε ηλικιωμένους με επιβαρυμένο ιατρικό ιστορικό. Για τον λόγο αυτό, η πρώιμη κινητοποίηση και η σταδιακή βάδιση με φυσιοθεραπευτική καθοδήγηση αποτελεί βασικό στόχο από τις πρώτες κιόλας ημέρες μετά το χειρουργείο.
Συνήθως, η πορεία της αποκατάστασης εξαρτάται από την ηλικία, τη γενική φυσική κατάσταση και το επίπεδο κινητικότητας πριν από την πτώση.
Η οργανωμένη φυσικοθεραπεία επικεντρώνεται:
- στην ενδυνάμωση των μυών του ισχίου και των κάτω άκρων
- στη βελτίωση της ισορροπίας
- στην επανεκπαίδευση της βάδισης
Παράλληλα, δίνεται έμφαση στην πρόληψη νέας πτώσης και στην ασφαλή επανένταξη του ασθενούς στις καθημερινές δραστηριότητες. Επιπλέον, σε αρκετές περιπτώσεις απαιτείται συνεργασία ιατρών και φυσικοθεραπευτών, ώστε η επιστροφή στην καθημερινότητα να είναι όσο το δυνατόν ταχύτερη και ασφαλέστερη.
Κάταγμα Ισχίου: Πρόληψη
Το κάταγμα ισχίου επιβαρύνει σημαντικά τον οργανισμό καθώς επίσης και η χειρουργική του αντιμετώπιση η οποία αποτελεί μια απαιτητική διαδικασία, ιδιαίτερα σε ασθενείς με ήδη επιβαρυμένη υγεία. Για τον λόγο αυτό, δίνεται μεγάλη έμφαση στην πρόληψη αυτών των καταγμάτων.
Έχουν προταθεί διάφοροι μηχανισμοί αποφυγής της πτώσης ή του κατάγματος που, όπως:
- η χρήση ειδικών προφυλακτικών μέσων
- η προληπτική άσκηση και η ενδυνάμωση των ηλικιωμένων
δυστυχώς δεν έχει αποδειχθεί η αποτελεσματικότητα κάποιου μέσου.
Οι πτώσεις που τα προκαλούν τα κατάγματα συνήθως αποδίδονται στη γενικότερη κατάσταση των ηλικιωμένων ατόμων, δηλαδή:
- μειωμένη μυική ισχύς
- εξασθενημένα αντανακλαστικά
- οστεοπόρωση (κυρίως στις γυναίκες)
- μειωμένη ευλυγισία
- κακός συντονισμός των κινήσεων
- ύπαρξη διαφόρων καρδιολογικών, νευρολογικών η και άλλων παθήσεων (η οποία ευθύνεται για λιποθυμικά επεισόδια, αστάθεια κλπ.)
Εάν εσείς ή κάποιο οικείο σας πρόσωπο υποστεί κάταγμα ισχίου, η άμεση και εξειδικευμένη αντιμετώπιση είναι καθοριστικής σημασίας. Εμπιστευτείτε έναν ιατρό με πολυετή εμπειρία και ηγετικό ρόλο στον τομέα της επανορθωτικής χειρουργικής.
Ο Ορθοπαιδικός Χειρουργός Αναστάσιος Λιλικάκης είναι Διευθυντής της Γ’ Ορθοπαιδικής Κλινικής της Ευρωκλινικής Αθηνών και Πρόεδρος του Τμήματος Επανορθωτικής Χειρουργικής Ισχίου & Γόνατος της ΕΕΧΟΤ, με εκτενή εμπειρία στην αντιμετώπιση καταγμάτων ισχίου και σύνθετων ορθοπαιδικών περιστατικών.
Επικοινωνήστεμαζί μας και κλείστε το ραντεβού σας, ώστε να λάβετε άμεση, εξατομικευμένη και ολοκληρωμένη θεραπευτική φροντίδα.
